En Nuevo León se registró el nacimiento de una bebé con cola, así lo da a conocer el Journal of Pediatric Surgery Case Reports, mismo en el que se analizó el caso.
De acuerdo con el artículo, el nacimiento de la pequeña se dio con normalidad: una cesárea en un hospital rural neoleonés, con padre y madre sanos y no consanguíneos, quienes previamente ya habían tenido un hijo, igualmente sano.
De acuerdo con el estudio, el embarazo de la madre no presentó complicaciones, no hubo registro de exposición a radiación o a teratógenos (agentes capaces de causar un defecto congénito).

Una cola de casi 6 centímetros
Fue hasta que estuvo fuera del vientre de su madre que los doctores detectaron que la recién nacida presentaba una estructura en forma de cola de 5.7 cm de longitud y de entre 3 y 5 mm de diámetro. La extremidad se encontraba en la hendidura interglútea.
La estructura de la cola era blanda, cubierta de piel y pelo fino, se podía mover pasivamente sin dolor, pero no mostraba ningún movimiento espontáneo. Al detectarlo, los médicos procedieron a pellizcar la extremidad con una aguja, al hacerlo la bebe lloró, por lo que confirmaron conexión nerviosa.
Tras detectar la anomalía, los médicos comenzaron a aplicar diversas pruebas. A través de una radiografía se descartó la evidencia de irregularidades o estructuras óseas dentro de la cola. Además, una ecografía abdominal descartó malformaciones renales y del tracto urinario, o reflujo vesicoureteral.
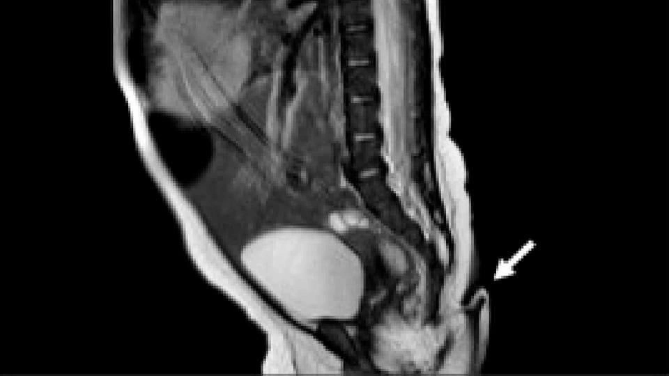
Asimismo, la resonancia magnética practicada no reveló anormalidades cerebrales, además, fue negativa para disrafismo posterior, y presentó médula espinal y cono medular de características normales. Entre tanto, la exploración auditiva y cardíaca fue normal, es decir: una bebé sana, por lo que fue dada de alta para seguimiento ambulatorio.

Tras cumplir dos meses, la menor fue revaluada por el equipo de pediatría y cirugía general mismos que encontraron que la cola había crecido 0.8 centímetros, por lo que fue extirpada y la zona afectada fue reconstruida mediante plastia de Limberg.
Una vez separada del cuerpo de la bebé, la cola fue sometida a más análisis en los que se reveló que la muestra contenía tejido blando, incluyendo tejido fibroadiposo, estructuras vasculares y haces nerviosos, cubiertos por piel, sin alteraciones histopatológicas.
De acuerdo a la publicación del Journal of Pediatric Surgery Case Reports, la pequeña fue dada de alta y no se registraron complicaciones en el seguimiento.
Colas humanas, casos poco comunes
De acuerdo con el artículo del estudio del caso, existen pocos casos de cola humana reportados a nivel mundial en la literatura médica.
Esto tomando en cuenta las clasificaciones propuestas en el mundo de la medicina. Y es que diversos autores han propuesto distintas divisiones para las colas o apéndices caudales humanos; sin embargo, la descrita por Dao y Netsky en 1984 sigue siendo una de las más utilizadas.
Esta se divide entre colas verdaderas y las pseudocolas. Las colas verdaderas se describen como aquellas que contienen tejido adiposo, conectivo y muscular, pero no contienen vértebras o estructuras óseas. Las pseudocolas por su parte, son estructuras que se asemejan a las colas verdaderas, pero son una manifestación superficial o cutánea de anomalías estructurales subyacentes, como lipomas, teratomas, prolongación anómala de vértebras, entre otras.
En el caso presentado en Nuevo León, se determinó que corresponde con una verdadera cola humana, ya que no se asoció a otras malformaciones, presentándose además en la región sacrococcígea, que es la localización más frecuente para encontrar colas humanas (aunque también se han reportado colas humanas en región cervical).